Medical Blog
Presentation: Signalment: 10-year-old female spayed mixed breed canine History: Prior history of hypothyroidism and osteoarthritis. Presented for evaluation due to decreased appetite, increased water intake, and regurgitation. Physical findings: …
Presentation: Signalment: 4-year-old male neutered Corgi History: No prior medical conditions. 10-day history of paraplegia. Physical findings: No significant joint abnormalities. Mentally appropriate. Forelimbs normal. Non-ambulatory paraplegic, extensor rigid …
Signalment: 2-year-old male neutered mix K9. History: Adopted from El Paso as a stray about 1.5 years ago and was neutered at that time. He has about a 1-year …
I am grateful to have the opportunity to collaborate with you on some challenging surgical cases and wanted to share details of a recent case. I have included links …
Many people struggle with the decision to pursue treatment once their pet has been diagnosed with cancer and question why someone would “put their animal through that?” The simplest …
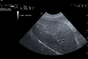
Signalment: 16y FS DSH History: Acute fever, lethargy, inappetence Physical exam: Fever; rest WNL Labs/Imaging: CBC/chem – mild/moderate neutrophilic leukocytosis Radiographs – hepatomegaly with suspected hepatic masses/nodules Abdominal ultrasound: …
Can you believe March is already here? I feel like we just celebrated the start of 2022. Anyway, I thought I would share this cardiac case to kick off …
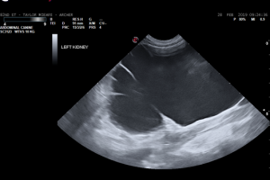
2y MI Border Collie Chief complaint: Unilateral cryptorchid; Asymptomatic. Physical examination: NSF Bloodwork (CBC/chem): NSF Abdominal ultrasound: – KIDNEYS: Left kidney (see first image below) is markedly enlarged (11cm; …
10y FS Shih Tzu that was originally presented for an esophageal foreign body (see endoscopic image below). Subsequently, we utilized a 3-stage balloon that incrementally increases its diameter depending …
Signalment: 4y FI Miniature Australian Shepherd CC: acute vomiting, lethargy, and anorexia. PE: icteric; dehydrated; CBC/chem: Hyperbilirubinremia, increased liver enzyme activity, marked leukocytosis, hypokalemia and hyponatremia. Leptospirosis PCR and …