I am grateful to have the opportunity to collaborate with you on some challenging surgical cases and wanted to share details of a recent case. I have included links to a good review article below, should you have any interest.
Presentation
Signalment:
9-year-old spayed female Siberian Husky
History:
No prior medical conditions. Two-week history of mildly increased respiratory effort with acute onset respiratory distress.
Physical Exam:
Respiratory distress, cyanosis, decreased lung sounds on auscultation.
CBC/Chemistry:
Minimally elevated ALT (160). No other significant abnormalities.
Initial Treatment
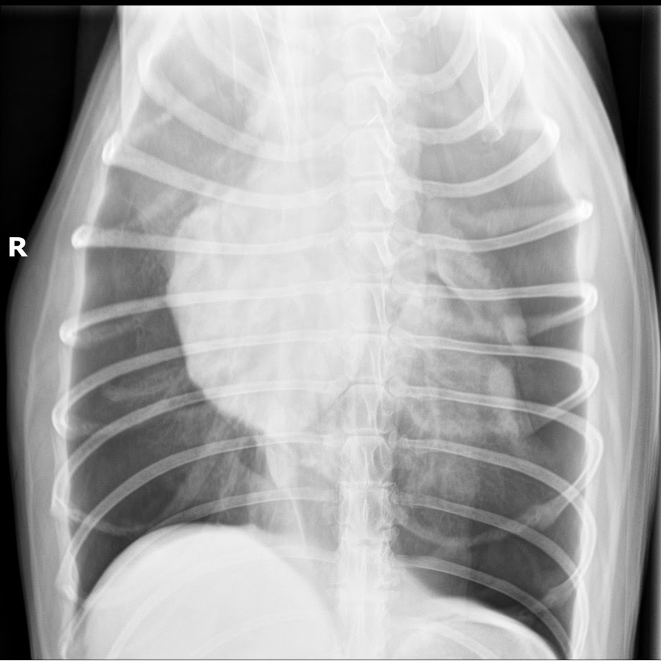
Approximately 1600 mL of air was aspirated by thoracocentesis. Serial radiographs confirmed significant improvement in free air volume, and the patient’s condition stabilized.
CT Findings
A CT scan with and without IV contrast was performed and revealed:
- Large-volume, bilateral pneumothorax
- Pulmonary alveolar pattern secondary to atelectasis
- No obvious lymphadenopathy





Diagnosis
Spontaneous Pneumothorax
Clinical Considerations
Spontaneous pneumothorax is a life-threatening condition that is uncommon in dogs and rare in cats. It is most frequently diagnosed in otherwise healthy, large-breed or deep-chested dogs, with the Siberian Husky being overrepresented.
When primary spontaneous pneumothorax is suspected, it remains important to exclude secondary forms. Secondary spontaneous pneumothorax can be related to neoplasia, pneumonia, pulmonary abscessation, heartworm disease, other parasitic infections, and inflammatory airway disease, among other causes. I once saw pneumothorax secondary to pulmonary adenocarcinoma in a cat.
Radiographs have high sensitivity for diagnosing pneumothorax; however, they are significantly less sensitive and specific than CT in detecting underlying cause and/or extent of disease. Primary spontaneous pneumothorax is generally caused by one or multiple pulmonary blebs or bullae. CT has been shown to identify bullae up to 2.5 times more often than radiographs, which provides useful information regarding prognosis and surgical planning. CT can still miss 40–50% of bullae, however, and maintaining negative thoracic pressure with indwelling thoracostomy tubes can improve lesion identification.
Patients with spontaneous pneumothorax often present in respiratory distress, and thus, there are significant risks associated with diagnostics and management. Mortality and recurrence rates have been found to be significantly lower in dogs treated with surgery (12% and 0–25%, respectively) versus medical management alone (53% and 50%, respectively).
Thoracic exploratory via median sternotomy is the recommended surgical approach, given the risk for multiple lesions. When recurrence occurs, it is most common within 30 days of the initial surgery. In my experience, these cases have multiple lesions identified during surgery, with generalized emphysematous change observed on histopathology. Those patients with solitary lesions causing an acute event can have a good long-term prognosis, with 83.5% alive at five years in one study. Few studies report outcomes in cats, but overall prognosis may be guarded to poor because of the higher risk for generalized disease.
See the links below for a more thorough review.
I look forward to continued case discussions that will help local pets and their families.
Kind regards,
Angel M. Thompson, DVM, DACVS-SA Referring Hospital- Animal Medical Center
Surgical Procedure- Lubbock Small Animal Emergency Clinic
Spontaneous Pneumothorax: Pathophysiology, Clinical Presentation and Diagnosis
Topics in Companion Animal Medicine
Volume 45, November 2021, 100563
Cassandra Gilday DVM, Adesola Odunayo DVM, MS, DACVECC , Adrien-Maxence Hespel DVM, MS, DACVR
https://www.sciencedirect.com/science/article/pii/S1938973621000568
Spontaneous Pneumothorax: Management and Prognosis Topics in Companion Animal Medicine Volume 45, November 2021, 100582 Cassandra Gilday, Adesola Odunayo, Adrien-Maxence Hespel https://www.sciencedirect.com/science/article/pii/S1938973621000751
